Information für Patienten
Der gesunde Zahn besteht aus einer äußeren Schmelzschicht. Der innere Bereich des Zahnes gliedert sich in die Bereiche Dentin und Pulpa auf. Das Dentin liegt unter dem Schmelz. Im Innersten befindet sich das Gefäß-Nervenbündel, die Pulpa. Der gesunde Zahn sollte von einem gesunden Parodont umgeben sein.
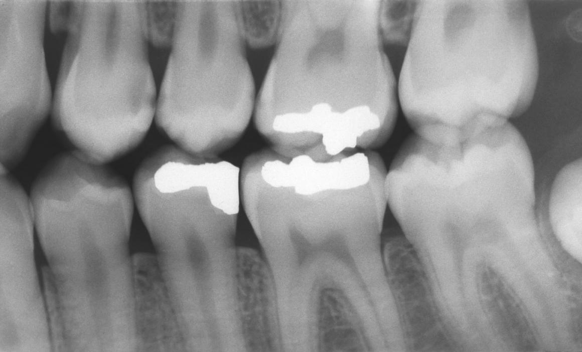
Karies ist eine lokalisierte Erkrankung der Zahnhartsubstanzen, die sich je nach Schweregrad in unterschiedlicher Symptomatik äußert. Karies entsteht durch das Zusammenwirken potenziell pathogener Mikroorganismen und potenziell pathogener ökologischer Faktoren.
Die Symptome der Erkrankung Karies reichen von submikroskopischen Veränderungen der Zahnhartsubstanz über mikroskopisch nachweisbare Oberflächendestruktionen bis hin zu klinisch diagnostizierbaren initialkariösen Veränderungen ("white spot") und offenen Kavitäten.
Aus heutiger Sicht geht es nicht nur um die Entscheidung, ob ein bestimmter Zahn oder eine bestimmte Zahnfläche eine Restauration benötigt, sondern es geht auch darum, durch die Kariesdiagnostik Phasen aktuell hoher oder niedriger Kariesaktivität zu erkennen.
Unterschieden werden initiale Karies, Dentinkaries sowie Fissurenkaries, Approximalkaries und Wurzelkaries.
Die klinische Untersuchung, insbesondere die visuelle Inspektion mit Puster und Spiegel sind Standard. Zusätzlich dienen Röntgenbilder z.B. Bißflügel zur Kariesdiagnostik und damit zur Entscheidung, ob ein Zahn oder eine Zahnfläche eine Restauration benötigt.
Sollten Sie schon einen Röntgenpaß besitzen, bringen Sie diesen bitte in die Praxis mit, ansonsten sprechen Sie uns gerne an.
Indirekte laborgefertigte Füllungen
Keramikinlay
Die zahnfarbenen Keramik-Inlays entsprechen den heutigen ästhetischen Ansprüchen und bieten bei entsprechender Pflege eine längere Haltbarkeit.
Goldinlay
Goldgussfüllungen haben sich seit Jahrzehnten als eine qualitativ sehr hochwertige Restaurationsform bewährt.
Direkte Füllungen
Kunststofffüllung
Die entscheidenden Vorteile gegenüber den Versorgungen mit Gold und Amalgam sind die ästhetischen Eigenschaften, außerdem werden durch die Verwendung der Adhäsivtechnik deutlich kleinere Restaurationen möglich.
Amalgamfüllung
Die Amalgamfüllung im Seitenzahnbereich wird aufgrund des Quecksilberanteils kritisch beurteilt. Die mangelhafte Ästhetik der Amalgamfüllung bewegt die Patienten heute dazu, diesen Werkstoff abzulehnen.
Alternativ kann auch eine einfache Zementfüllung verarbeitet werden. Diese sind jedoch in der Haltbarkeit stark begrenzt und müssen häufiger erneuert werden.
Vorsorge & Erhalt
Voraussetzung für den Behandlungserfolg ist die richtige häusliche Mundpflege sowie halbjährliche Kontrolluntersuchungen beim Zahnarzt.
Um über das für Sie geeignete Pflegeprogramm zu entscheiden, sprechen Sie uns an, wir beraten Sie gerne.
Damit Sie Ihren Kontrolltermin nicht vergessen, schicken wir Ihnen eine Erinnerungskarte.
