Information für Patienten
Zahnästhetik der Natur ein wenig nachhelfen
Schöne Zähne stehen für Wohlbefinden und Attraktivität. Manche Menschen haben von Natur aus ein strahlend schönes Gebiss. Andere haben kleine Schönheitsfehler an den Zähnen.
Um dies zu ändern hilft heute eine zahnärztliche Behandlung. Mit modernen Methoden können verfärbte Zähne wieder aufgehellt werden. Auch kleine Zahnlücken und selbst leichte Fehlstellungen lassen sich korrigieren.
Sollte bei Ihnen Zahnersatz notwendig werden, suchen wir natürlich auch nach ästhetisch überzeugenden Lösungen, selbstverständlich bei optimaler Qualität.
Verfärbungen durch Kaffee, Tee, Rotwein
Verfärbungen durch Ablagerungen im Zahninneren
Unansehnliche und alte Füllungen
Kariöse Zähne
Nicht abschließende Kronenränder
Zahnlücken
Zahnengstand
Frakturierte Zähne
Tiefe Zahnfleischtaschen
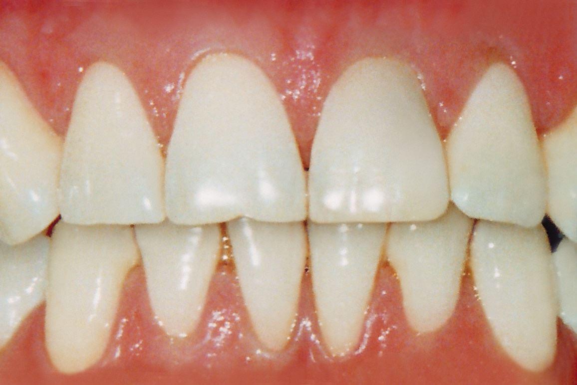
So schön können Zähne sein
Nach professioneller Zahnreinigung
Eine professionelle Zahnreinigung kann wirksam und schonend Verfärbungen durch Ablagerungen auf der Zahnoberfläche (z. B. Raucher-, Kaffee- oder Teebeläge) entfernen.
Nach dem Bleichen der Zähne
Durch das Bleichen der Zähne werden nachgedunkelte Zähne wieder aufgehellt, das natürliche Weiß der Zähne wird wieder sichtbar.
Mit Kunststofffüllungen
Kunststofffüllungen werden in plastischer Konsistenz in einer aufwändigen Schicht- und Klebetechnik in die Kavität eingebracht und mit speziellem Licht ausgehärtet.
Mit Keramikinlays
Keramikinlays werden im Labor vom Zahntechniker hergestellt. Die Vorteile sind sowohl die hohe Ästhetik und Biokompatibilität als auch die Passgenauigkeit und lange Haltbarkeit.
Mit Veneers
Veneers sind hauchdünne lichtdurchlässige Keramik-Verblendschalen, die auf die Vorderseite der Frontzähne geklebt werden. Sie bieten hervorragende Ästhetik und kommen sowohl bei Zahndefekten als auch bei Beseitigung von Fehlstellungen, Lücken und bei Korrekturen von Form und Farbe zum Einsatz.
Mit Krone
Verblendkronen erfüllen hohe Ansprüche an jahrelang gleich bleibende Zahnfarben und an dauerhafte Stabilität. Keramik ist kaudruckstabil und mit dem Metallgerüst fest verbunden.
Mit Keramikbrücke
Vollkeramikkronen kommen zum Einsatz, wenn die Zahnrestauration mittels Füllung oder Veneer wegen zu großen Zahndefekten nicht mehr in Frage kommt. Sie bringt viele Vorteile mit sich: hohe Ästhetik durch Transluzenz und Transparenz, Biokompatibilität und lange Haltbarkeit.
Mit Verblendbrücken
Diese haben als Gerüst eine Metalllegierung, die jedoch mit Keramik verblendet werden kann. Dadurch wird die Beeinträchtigung der Ästhetik vermieden.
Mit Adhäsiv-/Klebebrücken
Diese werden bei fehlenden Oberkiefer-Frontzähnen eingesetzt, besonders bei Jugendlichen, wenn die Nachbarzähne soweit Karies- bzw. füllungsfrei sind. Sie werden mit Hilfe von flügelartigen Fortsätzen durch das Klebeverfahren angebracht.
Mit Vollkeramikbrücken
Diese haben ein Gerüst aus Zirkondioxid und bieten durch Transluzenz und Transparenz eine hohe Ästhetik.
Mit Implantaten
Diese werden aus Titan oder Zirkondioxid gefertigt und bringen viele Vorteile mit sich: sie vermeiden den Knochenabbau und fördern die Zahnfleischregeneration, außerdem werden dabei keine Nachbarzähne beschliffen.
Vorsorge & Erhalt schöner Zähne
Voraussetzung für die Erhaltung der schönen neuen Zähne ist die konsequente Kontrolle durch den Zahnarzt, eine systematische und regelmäßige Mundhygiene und eine zahngesunde Ernährung.
Für regelmäßige Kontrolluntersuchungen werden wir Sie in dem von Ihnen gewünschten Zeitraum an die nächste zahnärztliche Untersuchung erinnern.
